Ihr Partner für Gamma-Kameras und Analysesoftware in der Nuklearmedizin.

Evo-Software für UniCam

Leistungsstarke  nuklearmedizinische Auswertesoftware für Planar, Ganzkörper, SPECT und Qualitätssicherung.

Für die Nuklearmedizin

Die Evo-Software für UniCam ist eine hochentwickelte, DICOM-basierte Softwarelösung für die Nuklearmedizin, die nahezu alle Untersuchungstypen abdeckt – von Hirn-, Schilddrüsen-, Leber-, Nieren- und Herzuntersuchungen bis hin zu Ganzkörper-Scans und spezialisierten SPECT- und SPECT/CT-Applikationen.

Kompatibilität

Dank der vollständigen DICOM-Kompatibilität können Bilder von Fremdsystemen problemlos importiert, archiviert und ausgewertet werden.

Regionsauswertung

Ein zentraler Bestandteil der Software ist die ROI-Analyse (Region of Interest). ROIs ermöglichen die gezielte Auswahl von Bildbereichen für die präzise Tracer-Messung, die Berechnung von Countinhalten, Uptake-Ratios und funktionellen Volumina.

Bedienung

Die Evo-Software zeichnet sich durch eine workflowbasierte, intuitive Benutzeroberfläche aus. Für jede Untersuchung stehen optimierte Schritt-für-Schritt-Prozesse bereit, die eine schnelle, effiziente und reproduzierbare Auswertung ermöglichen.

Rekonstruktion

Für die Bildrekonstruktion bietet die Software sowohl iterative Rekonstruktion als auch gefilterte Rückprojektion, sodass Anwender die Methode auswählen können, die für die jeweilige Fragestellung am besten geeignet ist.

3D-Darstellung

Die Software unterstützt eine 3D-Darstellung von SPECT- und SPECT/CT-Daten, die eine präzise Analyse anatomischer und funktioneller Informationen in drei Dimensionen erlaubt. In Kombination mit ROI-Analyse und quantitativer Tracermessung können Veränderungen in Organvolumen, Funktion und Aktivität exakt dokumentiert werden.

Untersuchungstypen

Unterstützung aller gängigen nuklearmedizinischen Untersuchungstypen: Brain, Wholebody, Thyroid, Liver, Kidney, Heart

Archivierung

Flexible Archivierung auf PACS, Netzlaufwerken oder lokal. Versand von Aufnahmen per Secondary Capture.

Bewegungskorrektur

Automatische Bewegungsartefakt-Korrektur und Bildvorverarbeitung.

Übersichtlich

Unterstützung mehrerer Monitore und paralleler Auswertungsstationen.

Schilddrüsenauswertung - THYROID

Das Schilddrüsenprogramm untersucht die Funktion der Schilddrüse und Nebenschilddrüsen. Es analysiert die Jodaufnahme (Uptake), prüft, wie die Schilddrüse auf Hormone reagiert (Suppression), und wertet Radiojod-Tests aus, um Knoten oder Funktionsstörungen zu erkennen. So unterstützt das Programm Ärztinnen und Ärzte bei der Diagnose und Therapieplanung.

Unser Schilddrüsenprogramm unterstützt medizinisches Fachpersonal bei der umfassenden Diagnostik von Schilddrüsen- und Nebenschilddrüsenerkrankungen und bietet eine Reihe spezialisierter Analyse-Tools:

  • Uptakeberechnung
    Die Software ermöglicht die präzise Berechnung der relativen Jodaufnahme der Schilddrüse im Vergleich zur Gesamtfunktion. Zusätzlich können die Schilddrüsenfläche und das Volumen automatisch ermittelt werden. Dabei werden drei verschiedene Nuklide berücksichtigt: Tc‑99m, I‑123 und I‑131. Das Programm berechnet zudem das Aktivitätsverhältnis verschiedener Regionen (ROI), um eine differenzierte Funktionsanalyse zu gewährleisten.

  • Radiojod-Aufnahmetest (RAIU)
    Das Modul für Radiojod-Tests unterstützt die Auswertung sowohl für diagnostische Zwecke als auch zur Therapiedosierung. Die Software berechnet die maximale Aufnahme oder die notwendige Radiojodtherapiedosis und führt die Analyse gemäß den Richtlinien der DGN (Deutsche Gesellschaft für Nuklearmedizin) und DGMP (Deutsche Gesellschaft für Medizinische Physik) durch.

  • Suppressionstest
    Mit der Suppressionstest-Funktion kann die Schilddrüsenaktivität unter medikamentösem Einfluss überprüft werden. Dies unterstützt die differenzierte Diagnostik von Funktionsstörungen.

  • Nebenschilddrüsenanalyse
    Das Programm bietet Module zur Bewertung der Nebenschilddrüsen, z. B. bei Verdacht auf Hyperparathyreoidismus, und erleichtert die Dokumentation relevanter Parameter für Therapieentscheidungen.

Dank der klar strukturierten Benutzeroberfläche und der automatisierten Berechnungen reduziert das Schilddrüsenprogramm den Arbeitsaufwand, erhöht die Genauigkeit diagnostischer Aussagen und unterstützt fundierte Entscheidungen bei der Therapieplanung.

Was ist das Schilddrüsenprogramm?

Das Schilddrüsenprogramm ist eine spezialisierte Softwarelösung für medizinisches Fachpersonal zur Diagnostik von Schilddrüsen- und Nebenschilddrüsenerkrankungen.
Es unterstützt Uptake-Berechnungen, Radiojod-Aufnahmetests (RAIU), Suppressionstests sowie die Analyse der Nebenschilddrüsen und ermöglicht automatisierte Volumen- und ROI-Berechnungen.

Das Programm deckt mehrere nuklearmedizinische Analyseverfahren ab:

  • Uptakeberechnung mit Tc-99m, I-123 und I-131

  • Radiojod-Aufnahmetest (RAIU) für Diagnostik und Therapiedosierung

  • Suppressionstests unter medikamentösem Einfluss

  • Nebenschilddrüsenanalysen bei Verdacht auf Hyperparathyreoidismus

Die Software berechnet:

  • die maximale Radiojodaufnahme der Schilddrüse

  • die erforderliche Therapiedosis

  • patientenspezifische Parameter nach den Richtlinien der DGN und DGMP

Dadurch wird eine leitlinienkonforme Planung der Radiojodtherapie ermöglicht.

Die automatisierte Uptakeberechnung erlaubt:

  • präzise Bestimmung der relativen Jodaufnahme

  • automatische Flächen- und Volumenmessung

  • regionale Funktionsanalysen mittels ROI

  • Vergleich verschiedener Nuklide

Das reduziert manuelle Rechenfehler und beschleunigt den Workflow erheblich.

Das Programm richtet sich an:

  • nuklearmedizinische Praxen

  • Kliniken

  • medizinische Physiker:innen

  • Radiologietechnolog:innen

  • Ärzt:innen in der Schilddrüsendiagnostik

Die Software wurde für diese Gamma-Kameras von Inter Medical optimiert:

Uptake (Jodaufnahme)

Der Uptake beschreibt den prozentualen Anteil des radioaktiven Jods, den die Schilddrüse aus dem Blut aufnimmt.
Er ist ein zentraler Parameter zur Beurteilung der Schilddrüsenfunktion, z. B. bei Hyperthyreose oder Autonomie.


RAIU-Test (Radiojod-Aufnahmetest)

Der RAIU-Test misst, wie viel Radiojod die Schilddrüse nach einer definierten Zeit gespeichert hat.
Er wird sowohl zur Diagnostik als auch zur Berechnung der Radiojodtherapiedosis eingesetzt.


ROI (Region of Interest)

Eine ROI ist ein definierter Bildbereich in der nuklearmedizinischen Aufnahme, der separat ausgewertet wird.
Durch ROI-Analysen lassen sich regionale Funktionsunterschiede innerhalb der Schilddrüse oder zwischen Knoten darstellen.


Suppressionstest

Beim Suppressionstest wird die Schilddrüsenfunktion unter medikamentösem Einfluss überprüft, meist nach Gabe von Schilddrüsenhormonen.
Er dient dazu, autonome Areale von hormonabhängig reguliertem Gewebe zu unterscheiden.


Hyperparathyreoidismus

Der Hyperparathyreoidismus ist eine Erkrankung der Nebenschilddrüsen mit übermäßiger Produktion von Parathormon.
Er kann zu erhöhten Calciumwerten, Knochenerkrankungen und Nierensteinen führen und wird nuklearmedizinisch abgeklärt.

Hirnauswertung - BRAIN

Das Hirnprogramm untersucht die Funktion bestimmter Gehirnbereiche, die für Bewegung und Nervensystem wichtig sind. Es wertet unter anderem DaTSCAN-Aufnahmen aus, um Dopamintransporter sichtbar zu machen, und IBZM, um Dopaminrezeptoren zu beurteilen. So unterstützt das Programm Ärztinnen und Ärzte bei der Diagnostik von neurologischen Erkrankungen wie Parkinson und anderen Funktionsstörungen.

Unser Hirnprogramm unterstützt die nuklearmedizinische Diagnostik des Gehirns mit spezialisierten Modulen für unterschiedliche Funktionsbereiche:

  • IBZM und DaTSCAN
    Die Software ermöglicht die Auswertung von IBZM- und DaTSCAN-Aufnahmen zur Beurteilung dopaminerger Systeme. Dies ist besonders relevant bei der Diagnostik von Parkinson-Syndromen und anderen neurodegenerativen Erkrankungen.

  • Darstellung der Perfusion
    Die Software visualisiert die zerebrale Perfusion übersichtlich und quantitativ, sodass Durchblutungsstörungen und funktionelle Auffälligkeiten des Gehirns schnell erkannt werden können.

  • Planare dynamische Verarbeitung
    Dynamische Aufnahmen lassen sich planarm auswerten, wodurch zeitliche Veränderungen der Tracer-Verteilung exakt analysiert werden können. Dies unterstützt präzise Diagnosen bei Stoffwechsel- oder Durchblutungsstörungen.

  • 3D-Neuro-Paket (optional)
    Für erweiterte Analysen bietet das 3D-Neuro-Paket die dreidimensionale Oberflächen- und Volumendarstellung der Gehirnperfusion. Dies erleichtert die räumliche Beurteilung von Funktionsstörungen und unterstützt die Therapieplanung bei komplexen Krankheitsbildern.

Mit einer klar strukturierten Oberfläche und automatisierten Auswertungen reduziert das Hirnprogramm den Analyseaufwand, erhöht die diagnostische Genauigkeit und liefert fundierte Entscheidungsgrundlagen für die klinische Praxis.

Was ist das Hirnprogramm?

Das Hirnprogramm ist eine spezialisierte Softwarelösung für die nuklearmedizinische Diagnostik des Gehirns.
Es unterstützt die Auswertung dopaminerger Systeme, die Analyse der zerebralen Perfusion, dynamische Untersuchungen sowie optional dreidimensionale Visualisierungen zur Therapieplanung.

Das Hirnprogramm wird eingesetzt bei:

  • Parkinson-Syndromen

  • anderen neurodegenerativen Erkrankungen

  • zerebralen Durchblutungsstörungen

  • metabolischen Funktionsstörungen

  • komplexen neurologischen Krankheitsbildern mit Therapieplanungsbedarf

Die Software wertet IBZM- und DaTSCAN-Aufnahmen quantitativ aus, um die Funktion dopaminerger Systeme objektiv zu beurteilen.
Dies ist besonders relevant für die Differenzierung verschiedener Parkinson-Syndrome und anderer neurodegenerativer Erkrankungen.

Die Darstellung der zerebralen Perfusion beschreibt die quantitative Visualisierung der Gehirndurchblutung.
Das Hirnprogramm stellt Perfusionsdefizite und funktionelle Auffälligkeiten übersichtlich dar und erleichtert so die diagnostische Beurteilung.

Mit der planaren dynamischen Verarbeitung lassen sich zeitabhängige Veränderungen der Tracer-Verteilung analysieren.
Dies ermöglicht präzise Aussagen über Durchblutungs- oder Stoffwechselstörungen und unterstützt die differenzierte Funktionsdiagnostik.

Das 3D-Neuro-Paket erweitert die Analyse um:

  • dreidimensionale Oberflächen- und Volumendarstellungen

  • räumliche Visualisierung von Perfusionsstörungen

  • Unterstützung der Therapieplanung bei komplexen Fällen

Das Hirnprogramm richtet sich an:

  • nuklearmedizinische Praxen

  • neurologische Kliniken

  • medizinische Physiker:innen

  • Ärzt:innen in der Bildgebung

  • MTRs / radiologisches Fachpersonal

Die Software wurde für diese SPECT-Gamma-Kameras von Inter Medical optimiert:

DaTSCAN

DaTSCAN ist eine nuklearmedizinische Untersuchung zur Darstellung der Dopamintransporter im Striatum.
Sie wird vor allem zur Abklärung von Parkinson-Syndromen und zur Differenzierung neurodegenerativer Erkrankungen eingesetzt.


IBZM

IBZM ist ein Radiotracer zur Untersuchung postsynaptischer Dopamin-D2-Rezeptoren.
Er hilft bei der Differenzierung verschiedener Parkinson-Formen und anderer Bewegungsstörungen.


Zerebrale Perfusion

Die zerebrale Perfusion bezeichnet die Durchblutung des Gehirns.
Störungen der Perfusion können auf Ischämien, vaskuläre Erkrankungen oder funktionelle Defizite hinweisen und werden nuklearmedizinisch quantitativ ausgewertet.


Planare dynamische Bildgebung

Die planare dynamische Bildgebung beschreibt die zeitaufgelöste Aufnahme der Tracer-Verteilung in einer Ebene.
Sie ermöglicht die Analyse kinetischer Prozesse bei Durchblutung und Stoffwechsel.


3D-Neuro-Paket

Das 3D-Neuro-Paket ist ein Softwaremodul zur dreidimensionalen Darstellung der Gehirnperfusion.
Es unterstützt volumetrische Analysen, Oberflächenprojektionen und die räumliche Beurteilung komplexer neurologischer Krankheitsbilder.

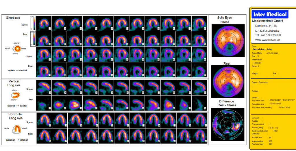
Herzauswertung - AUTOCARDIO 4D

Das Herzprogramm untersucht die Funktion des Herzens und seine Durchblutung. Es zeigt, wie gut das Herz pumpt, ob bestimmte Bereiche geschädigt sind, und ermöglicht Vergleiche zwischen Belastung und Ruhe. Automatische Analysen und anschauliche Darstellungen helfen Ärztinnen und Ärzten, Funktionsstörungen und Defekte gezielt zu erkennen.

Unser Herzprogramm bietet eine hochpräzise, automatisierte Analyse der Herzfunktion und Perfusion und unterstützt medizinisches Personal bei Diagnostik, Therapieplanung und Verlaufskontrolle:

  • Automatische Herzachsenfindung
    Die Software erkennt Herzstrukturen automatisch, richtet die Bilder neu aus und ermöglicht eine vollautomatische Darstellung aller diagnostisch relevanten Herzparameter. Dies reduziert den manuellen Aufwand und erhöht die Analysegenauigkeit.

  • Summenbewertungen und Defektgrößen
    Berechnung von Summenscores (SSS/SRS) und Defektgrößen aus Belastungs- und Ruheaufnahmen. Die Software bietet planare und Schnittbilddarstellungen (HLA/VLA/Kurzachsen) sowie Polarkarten für Perfusion, Wanddicke, Wandbewegung und Reversibilität.

  • Ejektionsfraktion und volumetrische Analysen
    Automatische Berechnung von EDV, ESV und Ejektionsfraktion bei gated Studien inklusive Volumenkurven, Cine-Modus und optionaler 3D-Ventrikeldarstellung.

  • Bulls Eye und 17-Segmente-Darstellung
    Vollständig standardisierte Polarkarten nach den Empfehlungen der American Heart Association ermöglichen eine intuitive und vergleichbare Auswertung.

  • Vergleich Stress/Ruhe
    Stress- und Ruhebilder lassen sich direkt gegenüberstellen, um reversible Perfusionsdefekte und Funktionsstörungen zu erkennen.

  • Normdatenbank und Filteroptionen
    Basierend auf mehr als 1.000 Normpatienten können individuelle Patientendaten verglichen werden. Zusätzlich stehen Bewegungskorrektur (optional) und Filtered Back Projection für optimierte Bildqualität zur Verfügung.

  • Flexibilität bei Berichten
    Frei gestaltbare Berichtseiten, automatische Anzeige aller relevanten Parameter und Schnittbilder erleichtern die Dokumentation und Kommunikation der Ergebnisse.

Dank der Kombination aus automatisierter Verarbeitung, Normwertvergleich und detaillierter Visualisierung unterstützt das Herzprogramm die schnelle, präzise und reproduzierbare Diagnostik in der Kardiologie und Nuklearmedizin.

Was ist das Herzprogramm?

Das Herzprogramm ist eine spezialisierte Softwarelösung für die nuklearmedizinische Diagnostik des Herzens.
Es unterstützt die quantitative Auswertung von Myokardperfusion, Funktion, Durchblutung und weiteren kardialen Parametern und liefert automatisierte Analysen für Diagnostik und Therapieplanung.

Das Herzprogramm wird eingesetzt bei:

  • KHK (koronare Herzkrankheit)

  • Verdacht auf Myokardischämie

  • Beurteilung der Herzfunktion nach Infarkt

  • Planung und Kontrolle kardialer Therapien

  • Funktionsdiagnostik von Herzklappen oder Transplantaten

Die Software visualisiert die Perfusion des Herzmuskels quantitativ und übersichtlich.
So lassen sich Durchblutungsstörungen, Infarktnarben oder regionale Minderperfusion zuverlässig erkennen.

Das Herzprogramm ermittelt automatisch Parameter wie:

  • Ejektionsfraktion

  • Schlagvolumen

  • Wandbewegungen

Damit können Ärzte Funktionsstörungen differenziert beurteilen und Therapieentscheidungen fundiert treffen.

Die dynamische Auswertung erlaubt die zeitaufgelöste Analyse der Tracer-Verteilung im Myokard.
Dadurch lassen sich Durchblutungs- und Stoffwechselprozesse präzise beurteilen, auch bei Belastungs- oder Pharmakatheterszenarien.

Das Herzprogramm richtet sich an:

  • nuklearmedizinische Praxen

  • kardiologische Kliniken

  • medizinische Physiker:innen

  • Ärzt:innen für Herzdiagnostik

  • MTRs / radiologisches Fachpersonal

Die Software wurde für diese SPECT-Gamma-Kameras von Inter Medical optimiert:

Myokardperfusion

Die Myokardperfusion beschreibt die Durchblutung des Herzmuskels.
Störungen der Perfusion können auf Ischämie, Infarktnarben oder andere Durchblutungsdefizite hinweisen und werden nuklearmedizinisch quantitativ bewertet.


Ejektionsfraktion

Die Ejektionsfraktion ist der Anteil des Blutes, der bei jedem Herzschlag aus der linken Herzkammer ausgeworfen wird.
Sie ist ein zentraler Parameter zur Beurteilung der Herzfunktion.


Dynamische Herzbildgebung

Die dynamische Herzbildgebung analysiert die zeitliche Verteilung von Radiotracern im Myokard.
So können Durchblutungs- und Stoffwechselvorgänge unter Ruhe- oder Belastungsbedingungen präzise erfasst werden.


Schlagvolumen

Das Schlagvolumen ist die Blutmenge, die das Herz pro Schlag auswirft.
Es ist ein wichtiger Parameter für die Beurteilung der Herzleistung und Herzgesundheit.


Koronare Herzkrankheit (KHK)

Die KHK ist eine Erkrankung der Herzkranzgefäße mit vermindertem Blutfluss zum Herzmuskel.
Sie kann zu Angina pectoris, Infarkt oder chronischer Herzschwäche führen und wird nuklearmedizinisch u. a. über Myokardperfusionstests beurteilt.

Nierenauswertung - KIDNEY

Das Nierenprogramm untersucht die Funktion und Durchblutung der Nieren. Es zeigt, wie gut jede Niere arbeitet, wie Flüssigkeit und Stoffe ausgeschieden werden und ermöglicht Vergleiche zwischen beiden Nieren. Spezielle Tests wie Captopril- oder DMSA-Untersuchungen helfen, Erkrankungen wie Durchblutungsstörungen oder Gewebeveränderungen frühzeitig zu erkennen.

Unser Nierenprogramm unterstützt die nuklearmedizinische Diagnostik und Funktionsbewertung der Nieren mit spezialisierten Modulen für differenzierte Auswertungen:

  • ROI-Auswertungen und Vergleiche
    Die Software ermöglicht die Definition und Analyse von Regionen (ROI) zur präzisen quantitativen Bewertung der Nierenfunktion. Vergleiche zwischen beiden Nieren erleichtern die Identifikation funktioneller Unterschiede.

  • Diagramme, Zeitverläufe und Kurven
    Dynamische Sequenzbilder werden automatisch verarbeitet und in übersichtlichen Zeit-Kurven dargestellt, um die Funktionsentwicklung über die Untersuchungsdauer sichtbar zu machen.

  • Clearance- und TER-Berechnung
    Berechnung der Nieren-Clearance sowie der Tubulären Exkretionsrate (TER) für eine objektive Funktionsanalyse.

  • Captopril- und DMSA-Untersuchungen
    Unterstützung spezieller Tests, wie der Captopril-Dynamik zur Erkennung von Nierenarterienstenosen und der DMSA-Untersuchung zur funktionellen Kartierung des Nierengewebes.

Mit klar strukturierten Berichten, automatisierten Auswertungen und anschaulichen Grafiken ermöglicht das Nierenprogramm eine effiziente und präzise Diagnostik. Dies unterstützt fundierte klinische Entscheidungen und vereinfacht die Dokumentation der Untersuchungsergebnisse.

Was ist das Nierenprogramm?

Das Nierenprogramm ist eine spezialisierte Softwarelösung für die nuklearmedizinische Funktionsdiagnostik der Nieren.
Es unterstützt ROI-Analysen, Clearance- und TER-Berechnungen, dynamische Sequenzdarstellungen sowie spezielle Untersuchungen wie Captopril- und DMSA-Tests.

Das Nierenprogramm wird eingesetzt bei:

  • Verdacht auf Nierenarterienstenosen

  • Funktioneller Nierenunterschiede zwischen beiden Nieren

  • Chronischer Nierenfunktionsstörung

  • Evaluierung nach Nierentransplantation

  • Planung und Kontrolle therapeutischer Maßnahmen

Die Software ermöglicht die Definition und quantitative Analyse von Regionen (ROI) in beiden Nieren.
Vergleiche der Nierenfunktion helfen, asymmetrische Funktionsstörungen frühzeitig zu erkennen.

Dynamische Sequenzbilder werden automatisch verarbeitet und als Zeit-Kurven dargestellt.
So können Ärzte die Entwicklung der Nierenfunktion über den Untersuchungszeitraum nachvollziehen und Veränderungen präzise beurteilen.

  • Clearance: Maß für die Fähigkeit der Niere, Substanzen aus dem Blut zu entfernen.

  • TER (Tubuläre Exkretionsrate): Bewertung der tubulären Ausscheidungsleistung.

Beide Parameter liefern objektive, quantitative Daten zur Nierenfunktion.

  • Captopril-Test: Identifikation von Nierenarterienstenosen durch pharmakologische Veränderung der Durchblutung.

  • DMSA-Untersuchung: Funktionelle Kartierung des Nierengewebes, z. B. zur Detektion von Narben oder Minderperfusion.

Das Nierenprogramm richtet sich an:

  • nuklearmedizinische Praxen

  • nephrologische und urologische Kliniken

  • medizinische Physiker:innen

  • Ärzt:innen in der Nierenfunktionsdiagnostik

  • MTRs / radiologisches Fachpersonal

Die Software wurde für diese Gamma-Kameras von Inter Medical optimiert:

ROI (Region of Interest)

Eine ROI ist ein definierter Bereich innerhalb eines Bildes, der gezielt ausgewertet wird.
Im Nierenprogramm ermöglicht sie präzise Funktionsmessungen einzelner Nierenabschnitte.


Clearance

Die Clearance gibt an, wie effizient die Niere eine Substanz aus dem Blut entfernt.
Sie ist ein Standardparameter zur Beurteilung der Nierenfunktion.


TER (Tubuläre Exkretionsrate)

Die TER beschreibt die Ausscheidungsleistung der Nierentubuli.
Sie liefert ergänzende Informationen zur Gesamtfunktion der Nieren.


Captopril-Test

Der Captopril-Test ist ein nuklearmedizinischer Test zur Erkennung von Nierenarterienstenosen.
Er basiert auf der pharmakologischen Veränderung der Nierendurchblutung nach Gabe von Captopril.


DMSA-Untersuchung

Die DMSA-Untersuchung nutzt den Radiotracer Dimercaptosuccinat zur funktionellen Kartierung des Nierengewebes.
Sie hilft bei der Darstellung von Narben, Minderperfusion oder anderen strukturellen Funktionsdefiziten.

Knochenauswertung - BONES

Das Knochenprogramm untersucht den Bewegungs- und Stoffwechselbereich der Knochen. Es zeigt, wie das Skelett durchblutet wird und wie Knochengewebe arbeitet – von gezielten Gelenken wie den Iliosakralgelenken bis hin zu Ganzkörperaufnahmen. Dynamische Aufnahmen und Vergleiche verschiedener Regionen unterstützen Ärztinnen und Ärzte bei der Diagnostik von Verletzungen, Entzündungen oder Stoffwechselstörungen.

Unser Knochenprogramm unterstützt die nuklearmedizinische Diagnostik des Skeletts mit leistungsstarken Tools für quantitative und visuelle Auswertungen:

  • 2-Phasen- und 3-Phasen-Analysen
    Die Software ermöglicht die dynamische Darstellung der Knochenperfusion und des Knochenstoffwechsels über 2- oder 3-Phasen-Sequenzen.

  • Sequenzbilder und Cine-Darstellung
    Sequenzaufnahmen können als Kurven, Zeitverläufe oder als Cine (Video) dargestellt werden, um dynamische Veränderungen sichtbar zu machen.

  • ROI-Auswertungen und Vergleiche
    Regionen (ROI) lassen sich am gesamten Skelett definieren und quantifizieren. Vergleiche zwischen Bereichen ermöglichen eine objektive Beurteilung von Auffälligkeiten.

  • Iliosakralgelenke
    Spezielle Analysefunktionen zur Beurteilung der Iliosakralgelenke unterstützen die Diagnostik von entzündlichen oder degenerativen Veränderungen.

  • Ganzkörper- und SPECT-Darstellung
    Anzeige von 1, 2 oder 4 Ganzkörperscans sowie SPECT-Aufnahmen. Maximale Intensitätsprojektionen (MIP) und flexible Zoomfunktionen erleichtern die Visualisierung relevanter Bereiche.

  • Ausschneiden heißer Bereiche
    Bereiche wie Injektionsstellen oder Blase können gezielt ausgeschlossen werden, um Artefakte zu minimieren und die Analyse zu optimieren.

Mit klaren Darstellungen, automatisierten Auswertungen und umfangreichen Visualisierungsmöglichkeiten erleichtert das Knochenprogramm die präzise Diagnostik, Vergleichbarkeit von Untersuchungen und die Erstellung aussagekräftiger Berichte.

Was ist das Knochenprogramm?

Das Knochenprogramm ist eine spezialisierte Software für die nuklearmedizinische Diagnostik des Skeletts.
Es unterstützt 2- und 3-Phasen-Analysen, dynamische Sequenzdarstellung, ROI-Auswertungen, Ganzkörper- und SPECT-Visualisierung sowie spezielle Analysen der Iliosakralgelenke.

Das Knochenprogramm wird eingesetzt bei:

  • Entzündlichen oder degenerativen Veränderungen der Knochen

  • Auffälligkeiten im Skelettstoffwechsel

  • Diagnostik von Iliosakralgelenkproblemen

  • Planung und Kontrolle therapeutischer Maßnahmen

  • Vergleich von mehreren Ganzkörperscans

Die Software erstellt dynamische Sequenzen des Knochenstoffwechsels:

  • 2-Phasen-Analyse: Perfusion und Skelettaufnahme

  • 3-Phasen-Analyse: Perfusion, Blutpool und Skelettaufnahme

Damit lassen sich Durchblutung und Stoffwechsel in einzelnen Bereichen differenziert beurteilen.

Sequenzbilder werden automatisch in Kurven, Zeitverläufen oder als Cine (Video) dargestellt.
So können zeitabhängige Veränderungen der Knochenaktivität präzise erfasst und analysiert werden.

Regionen (ROI) lassen sich gezielt am gesamten Skelett definieren und quantitativ auswerten.
Vergleiche zwischen Bereichen ermöglichen die objektive Beurteilung von Funktionsunterschieden oder Auffälligkeiten.

Das Programm bietet spezielle Analysewerkzeuge für die Iliosakralgelenke, um entzündliche oder degenerative Veränderungen zuverlässig zu identifizieren.

  • Ganzkörperaufnahmen (1, 2 oder 4 Scans)

  • SPECT-Darstellung

  • Maximale Intensitätsprojektionen (MIP)

  • Flexible Zoomfunktionen

  • Ausschluss „heißer Bereiche“ wie Blase oder Injektionsstellen zur Artefaktreduktion

Das Knochenprogramm richtet sich an:

  • nuklearmedizinische Praxen

  • orthopädische und rheumatologische Kliniken

  • medizinische Physiker:innen

  • Ärzt:innen für Skelettdiagnostik

  • MTRs / radiologisches Fachpersonal

2-Phasen- und 3-Phasen-Analyse

Analyseverfahren, die den Knochenstoffwechsel dynamisch in 2 oder 3 zeitlich aufgelösten Phasen darstellen.
Sie zeigen Perfusion, Blutpool und Knochenaufnahme und ermöglichen differenzierte Diagnosen.


ROI (Region of Interest)

Eine ROI ist ein definierter Bereich im Bild, der gezielt ausgewertet wird.
Im Knochenprogramm lassen sich damit einzelne Skelettregionen quantitativ analysieren.


SPECT (Single Photon Emission Computed Tomography)

SPECT ist ein nuklearmedizinisches 3D-Bildgebungsverfahren, das die räumliche Verteilung von Radiotracern im Skelett darstellt.
Es ergänzt die Ganzkörper- oder planare Darstellung.


Iliosakralgelenke

Die Iliosakralgelenke verbinden Kreuzbein und Becken.
Spezielle Analysefunktionen helfen, entzündliche oder degenerative Veränderungen zu erkennen.


Maximale Intensitätsprojektion (MIP)

MIP ist ein Verfahren zur Darstellung der stärksten Aktivitätswerte in einem Bildvolumen.
Es erleichtert die schnelle Identifikation relevanter Bereiche im Knochenstoffwechsel.

Organauswertung - ORGANS

Das Organprogramm untersucht wichtige Organe wie Speiseröhre, Magen, Leber, Speicheldrüsen, Lymphknoten und Augen. Es zeigt, wie diese Organe arbeiten, wie schnell sie Inhalte transportieren oder Flüssigkeit ausscheiden, und unterstützt Ärztinnen und Ärzte bei der Diagnostik und Therapieplanung.

Unser Organprogramm unterstützt die nuklearmedizinische Diagnostik verschiedener Organsysteme mit spezialisierten Modulen für quantitative und visuelle Auswertungen:

  • Ösophagus
    Berechnung der Transitzeit und Auswertung der Funktion des Speiseröhrenchannels, um Motilitätsstörungen präzise zu erkennen.

  • Magen
    Verarbeitung und Auswertung der Magenszintigraphie zur Beurteilung von Magenentleerung, Motilität und Funktionsstörungen.

  • Leber (HIDA)
    Analyse der Leber- und Gallengangfunktion, inklusive Berechnung der Gallenblasen-Ejektionsfraktion (EF), zur objektiven Beurteilung von hepatobiliären Erkrankungen.

  • Speicheldrüsen
    Quantitative und visuelle Auswertung der Speicheldrüsenfunktion, z. B. bei verminderter Sekretion oder entzündlichen Prozessen.

  • Sentinel-Lymphknoten (SLN)
    Unterstützung bei der Identifikation und Verarbeitung von Sentinel-Lymphknoten zur präoperativen Planung und Diagnostik.

  • Augen (Dakryoszintigraphie)
    Analyse der Tränenwegfunktion zur Diagnostik von Dakryostenosen oder Sekretionsstörungen.

Mit automatisierten Auswertungen, grafischen Darstellungen von Zeitverläufen und standardisierten Berechnungen ermöglicht das Organprogramm eine effiziente, präzise und reproduzierbare Diagnostik verschiedener Organsysteme.

Was ist das Organprogramm?

Das Organprogramm ist eine spezialisierte Softwarelösung für die nuklearmedizinische Diagnostik mehrerer Organsysteme.
Es unterstützt quantitative Analysen, visuelle Darstellungen und automatisierte Berechnungen für Speiseröhre, Magen, Leber, Speicheldrüsen, Sentinel-Lymphknoten und Augen.

Das Organprogramm wird eingesetzt bei:

  • Motilitätsstörungen der Speiseröhre und des Magens

  • Funktionsstörungen der Leber und Gallenblase

  • eingeschränkter Speicheldrüsenfunktion

  • präoperativer Planung von Sentinel-Lymphknoten

  • Tränenwegserkrankungen (Dakryostenosen, Sekretionsstörungen)

Die Software berechnet die Transitzeit und wertet die Funktion des Speiseröhrenchannels aus.
So können Motilitätsstörungen objektiv erkannt und dokumentiert werden.

Die Magenszintigraphie wird quantitativ und visuell ausgewertet, inklusive:

  • Magenentleerung

  • Motilität

  • Funktionsstörungen

Dies ermöglicht eine präzise Diagnostik gastrointestinaler Probleme.

Die HIDA-Auswertung analysiert die Leber- und Gallenblasenfunktion, inklusive Berechnung der Gallenblasen-Ejektionsfraktion (EF).
Dadurch können hepatobiliäre Erkrankungen objektiv beurteilt werden.

  • Speicheldrüsen: Quantitative und visuelle Funktionsanalyse

  • Sentinel-Lymphknoten (SLN): Identifikation und präoperative Planung

  • Augen (Dakryoszintigraphie): Analyse der Tränenwegfunktion

Das Organprogramm richtet sich an:

  • nuklearmedizinische Praxen

  • gastroenterologische und hepatologische Kliniken

  • HNO- und ophthalmologische Fachbereiche

  • medizinische Physiker:innen

  • Ärzt:innen und MTRs für Funktionsdiagnostik

Transitzeit Ösophagus

Die Transitzeit beschreibt die Zeit, die ein Bolus durch die Speiseröhre benötigt.
Sie ist ein wichtiger Parameter zur Beurteilung von Ösophagusmotilitätsstörungen.


Magenszintigraphie

Die Magenszintigraphie ist eine nuklearmedizinische Untersuchung zur Beurteilung von Magenentleerung, Motilität und Funktionsstörungen.


HIDA (Hepatobiliäre Szintigraphie)

HIDA ist eine nuklearmedizinische Untersuchung zur Darstellung der Leber- und Gallenblasenfunktion.
Die Ejektionsfraktion (EF) der Gallenblase kann quantitativ bestimmt werden.


Sentinel-Lymphknoten (SLN)

Der Sentinel-Lymphknoten ist der erste Lymphknoten, in den ein Tumor typischerweise metastasiert.
Die Identifikation unterstützt die präoperative Planung und Diagnostik onkologischer Erkrankungen.


Dakryoszintigraphie

Die Dakryoszintigraphie ist ein nuklearmedizinisches Verfahren zur Untersuchung der Tränenwegfunktion.
Sie wird zur Diagnostik von Dakryostenosen oder Sekretionsstörungen eingesetzt.

Lungenauswertung - LUNGS

👷 Dieser Inhalt befindet sich noch in Bearbeitung!

👷 Dieser Inhalt befindet sich noch in Bearbeitung!
👷 Dieser Inhalt befindet sich noch in Bearbeitung!

Qualitätssicherung - CAMERACHECK

Auswertemodule für Anforderungen aus den Normen

  • NEMA-NU1
  • DIN EN 61675-2
👷 Dieser Inhalt befindet sich noch in Bearbeitung!
👷 Dieser Inhalt befindet sich noch in Bearbeitung!

Unser Newsletter

Abonnieren Sie unseren Newsletter, um keine Angebote und Informationen von Inter Medical zu verpassen.